
[商品编号]:HE001 [市场价]:¥询价
[CAS]:
[英文名称]:
[产品信息]:
[其它]:[品 牌]:无
[库 存]: 暂时缺货!
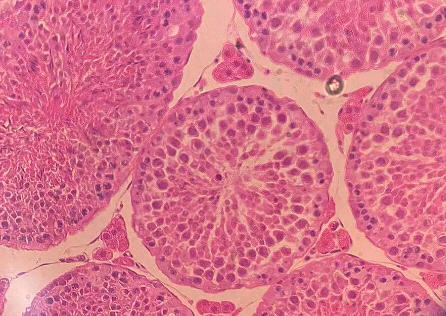
HE染色实验
HE染色法,即是苏木精-伊红染色法。石蜡切片技术里常用的染色法之一 。苏木精染液为碱性,主要使细胞核内的染色质与胞质内的核糖体着紫蓝色;伊红为酸性染料,主要使细胞质和细胞外基质中的成分着红色。易于被碱性或酸性染料着色的性质分别称为嗜碱性和嗜酸性;若于两种染料的亲和力都不强,则呈中性。一般的组织变化和组织产物都可以通过这一染色法显示出来。是形态学最常用的染色方法。
染色结果:细胞核被苏木精染成鲜明的蓝色,软骨基质、钙盐颗粒呈深蓝色,粘液呈灰蓝色。细胞浆被伊红染成深浅不同的粉红色至桃红色,胞浆内嗜酸性颗粒呈反光强的鲜红色。胶原纤维呈淡粉红色,弹力纤维呈亮粉红色,红血球呈橘红色,蛋白性液体呈粉红色。
1 材料
1.1 主要试剂
石蜡、无水乙醇、氨水、硫酸铝钾、碘酸钠、冰醋酸、甘油、苏木素、伊红
1.2 溶液配制
PBS溶液:600ml的ddH2O中溶解8g NaCl、0.2g KCl、1.44g Na2HPO4和0.24g
KH2PO4,用HCl调节溶液pH至7.4,定容至1L,滤器过滤后,高压灭菌,室温保存。
1.3 主要仪器及耗材
正置显微镜、恒温烘箱、石蜡切片机 、摊片机、移液器、水浴锅
数字切片扫描仪:滨松 NanoZoomer( S210)公司产品
2 方法
2.1样本包埋与固定
(1)固定:根据需要取材后置于福尔马林中固定48小时后;
(2)洗涤与脱水:将固定后的组织用流水冲洗,去除残留的固定液和杂质。不同浓度的乙醇逐级脱水,50%、70%、85%、95%直至纯酒精(无水乙醇),每级2小时。70%乙醇中可长期保存;
(3)透明:50%酒精+50%二甲苯中2小时,纯二甲苯两小时,再一次纯二甲苯两小时;
(4)浸蜡:先把组织材料块放在熔化的石蜡和二甲苯的等量混合液浸渍1~2小时,再先后移入2个熔化的石蜡液中浸渍各3小时左右;
(5)包埋:将浸好蜡的组织块放入装有蜡液的容器中,摆好组织块位置。待石蜡凝固后将周围多余的石蜡去除,准备切片;
(6)切片:将切片刀装在刀片机的刀架上并固定紧,固定蜡块底座或蜡块,调整蜡块与刀至合适位置,刀刃与蜡块表面呈5度角。调整切片机上的切片厚度为4-7μm,然后切片。
2.2 HE染色
(1) 脱蜡:60℃、30min;二甲苯I 10min、二甲苯II 10min ;
(2)水化:将脱蜡后的切片经100%酒精、95%酒精、85%酒精、75%酒精、双蒸水各3min ;
(3)将已入蒸馏水后的切片放入苏木精水溶液中染色数分钟,流水冲洗;
(4)1%盐酸酒精分化0.5-1min;
(5)流水冲洗1小时后入蒸馏水片刻;
(6)碳酸锂饱和水溶液反蓝1min后流水冲洗;
(7)入70%和90%酒精中脱水各10min;
(8)入酒精伊红染色液染色2-3min;。
(9)脱水透明:染色后的切片经纯酒精脱水,再经二甲苯使切片透明;
(10)封片:将已透明的切片滴上中性树胶,盖上盖玻片封固。待树胶略干后,贴上标笺,切片标本就可使用;
2.3 图像采集
通过扫描,采集图片。
送样运输要求:
样本放置于20倍样本体积的固定液中固定24h以上,常温运输送样。
切勿固定时间过长,切勿冷冻结冰。
文档名称
文档类型
文件大小
上海信帆生物科技有限公司 公司地址:上海市闵行区顾戴路2988号 邮箱:tech@58bio.com 联系电话:4008-013-053
本公司产品仅供科研实验使用,严禁用于医疗、食用等其它用途 备案号:沪ICP备13019554号-8 技术支持:阿仪网






